Medicina Dentária
Tratamentos
CIRURGIA ORAL
Área de elevada exigência técnica, onde realizamos biopsias, extrações dentárias, remoção de quistos, drenagem de abcessos, entre outras intervenções.
DENTISTERIA
Restauramos dentes que apresentem lesões de cárie, alterações de forma, coloração ou fraturas, devolvendo a estética e a sua funcionalidade.
ENDODONTIA
Desvitalizamos dentes com lesões, fraturas ou cáries extensas.
HIGIENE ORAL
Prevenimos e diagnosticamos doenças orais e realizamos a manutenção dos tratamentos efetuados por outras especialidades.
IMPLANTOLOGIA
Nesta área da cirurgia, procedemos à substituição dos dentes perdidos através de implantes dentários certificados. Realizamos cirurgias guiadas, minimamente invasivas, para garantir um maior conforto do paciente.
OCLUSÃO E ATM
Procedemos ao estudo e tratamento da dor oro-facial e de problemas oclusais e da articulação temporo-mandibular.
ODONTOGERIATRIA
Realizamos tratamentos dentários adaptados às necessidades do paciente sénior.
ODONTOPEDIATRIA
Realizamos tratamentos direcionados especificamente para as necessidades das crianças, desde o primeiro ano de vida até à adolescência, e aconselhamos os pequenos pacientes e respetivos pais acerca das melhores práticas de higiene oral.
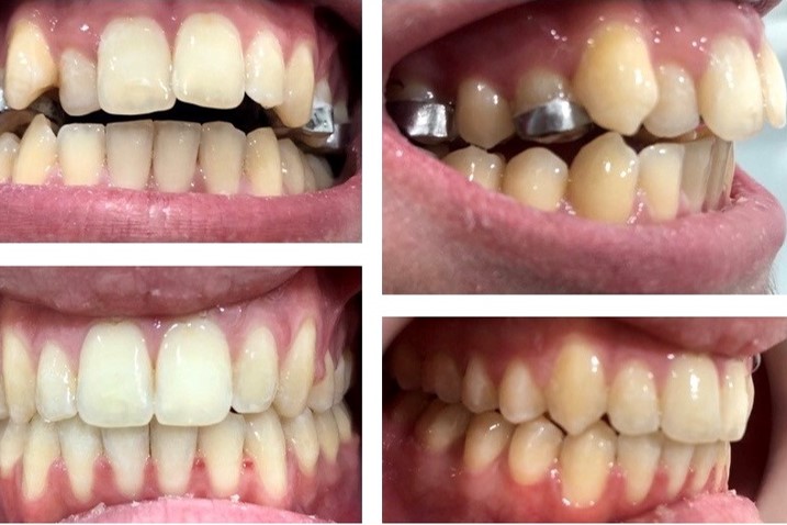
ORTODONTIA
Após uma avaliação rigorosa, prevenimos e corrigimos desarmonias dento faciais em crianças e adultos, permitindo o correto desenvolvimento maxilar e mandibular.
Hoje qualquer má oclusão é tratada facilmente com técnicas fixas ou removíveis..
Hoje qualquer má oclusão é tratada facilmente com técnicas fixas ou removíveis..
PERIODONTOLOGIA
Realizamos intervenções específicas sobre os tecidos de suporte dos dentes, procedendo ao tratamento da periodontite e gengivite, ao recobrimento radicular e enxertos gengivais, entre outros.
PRÓTESES
Dispomos de especialistas em reabilitação oral estética, com o objetivo de reproduzir a sua dentição natural, através de próteses fixas (coroas, pontes e facetas dentárias) ou removíveis (esqueléticas ou acrílicas, totais ou parciais).



















